ua en ru

Вчені представили 3D-принтер, що друкує шкіру ідентичну людській

09:19 27.01.2017 Пт
1 мин
Шкіра виходить біологічно активною і сама починає виробляти колаген
Вчені представили 3D-принтер, що друкує шкіру ідентичну людській Фото: Штучна шкіра

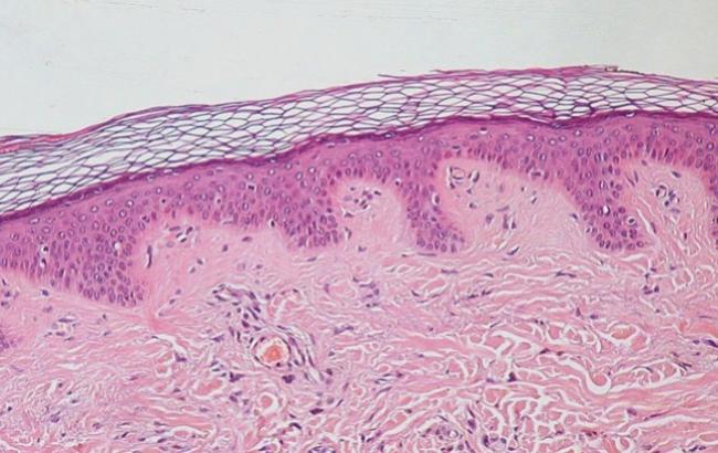
Іспанські вчені з мадридського Університету Карлоса III, Центру з досліджень в сфері енергетики, навколишнього середовища та технологій (CIEMAT), а також мадридського Університетського госпіталю Грегоріо Мараньона представила біопринтер для тривимірного друку, який здатний відтворювати шкіру людини, повністю ідентичну натуральній (що вже довели гістологічні та імуногістохімічні дослідження)

Як пояснили розробники, в їх вирішенні використовуються інжектори з біологічними компонентами (тільки людськими) і біочернила, запатентовані CIEMAT і ліцензовані компанією BioDan Group. Остання планує в майбутньому комерціалізувати технологію. Шкіра друкується шарами, а весь процес контролює комп'ютер.

Вчені використовували біочернила, які містять плазму, первинні фібробласти і кератиноцити людини, які були отримані за допомогою біопсії.

Надрукована шкіра на 100% повторює структуру свого природного аналога: на ній є зовнішній захисний шар епідермісу і внутрішні шари дерми, що складаються з фібробластів — клітин сполучної тканини, що виробляють колаген та надають нашій шкірі еластичність. Так як для друку використовуються живі клітини, отримана шкіра виходить біологічно активної і сама починає виробляти колаген.

До речі, археологи виявили в бурштині унікальне комаха з трикутною головою.

Или читайте нас там, где вам удобно!
Больше по теме: